만성폐쇄성 폐질환(COPD)으로 잦은 기침, 가래, 숨 가쁨 같은 증상으로 일상생활에 큰 불편을 겪거나 호흡 곤란을 걱정하셨던 적이 있으실 겁니다. 만성폐쇄성 폐질환은 올바른 관리로 합병증을 막고 건강한 삶을 유지하는 것이 중요합니다.
이번 글에서는 1편에서 다룬 만성폐쇄성 폐질환의 원인과 초기 증상에 이어, 질환을 정확히 진단하는 방법과 효과적인 치료 전략, 그리고 합병증 예방 및 장기 관리에 대한 심층적인 내용을 소개하겠습니다.

🩺 만성폐쇄성 폐질환 진단 기준 및 방법

🏥 진료 상담 및 병력 청취
만성폐쇄성 폐질환의 진단은 의료진과의 면밀한 상담에서 시작됩니다. 의료진은 환자의 잦은 기침, 가래, 숨 가쁨 등 호흡기 증상 발생 시기, 양상, 심한 정도, 그리고 흡연력, 직업적 유해 물질 노출 여부, 가족력, 과거 병력 등을 자세히 확인하여 진단의 단서를 얻습니다.
특히 장기간의 흡연력은 만성폐쇄성 폐질환의 가장 중요한 위험 인자이므로, 솔직하게 정보를 제공하는 것이 중요합니다.
🧪 주요 검사 및 기준
만성폐쇄성 폐질환 진단에 있어 가장 핵심적인 검사는 폐기능 검사(Spirometry)입니다. 폐기능 검사를 통해 숨을 최대로 내쉬는 데 걸리는 시간과 공기량을 측정하여 기도 폐쇄 유무와 정도를 확인하며, 특히 기관지 확장제 사용 후에도 FEV1(1초간 강제 날숨량)/FVC(강제 폐활량) 비율이 0.7 미만인 경우 진단합니다.
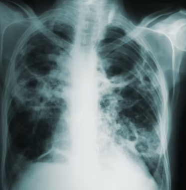
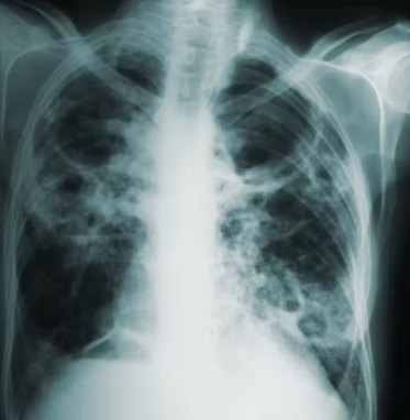
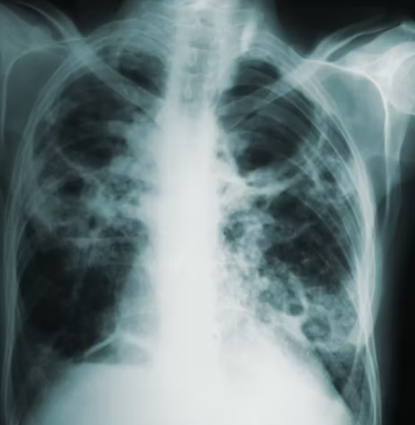
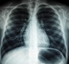
이 외에 흉부 X-ray 또는 CT를 통해 폐기종 변화나 다른 폐 질환 유무를 확인하고, 혈액 검사로 알파-1 항트립신 결핍증과 같은 특정 원인이나 합병증을 평가하기도 합니다. 의료진은 이러한 검사 결과를 종합하여 만성폐쇄성 폐질환의 진단과 중증도를 판단합니다.
📊 감별 진단 및 확진
의료진은 임상 증상, 병력 청취, 그리고 폐기능 검사 결과를 종합하여 만성폐쇄성 폐질환을 진단합니다. 이때 천식, 기관지 확장증, 폐암, 울혈성 심부전 등 유사한 호흡기 증상을 유발하는 다른 질환들과의 정확한 감별 진단을 내리는 것이 매우 중요합니다.
정확한 감별 진단은 불필요한 치료를 피하고, 환자에게 가장 적합한 치료법을 선택하여 폐 손상을 최소화하는 데 필수적인 과정입니다.
💊 만성폐쇄성 폐질환 치료 방법

🧪 약물 치료
만성폐쇄성 폐질환 약물 치료는 증상 완화, 운동 능력 향상, 급성 악화 감소를 목표로 합니다. 주로 기관지 확장제(흡입제)가 사용되며, 증상의 심한 정도에 따라 속성 베타-2 효능제(LABA)와 지속성 항콜린제(LAMA)를 단독 또는 복합하여 사용합니다.
급성 악화가 잦은 환자의 경우 흡입 스테로이드를 병용하기도 합니다. 감염으로 인한 급성 악화 시에는 항생제가 사용됩니다. 의사의 처방에 따라 정해진 용법과 용량을 지켜 꾸준히 복용하고 올바른 흡입기 사용법을 숙지하는 것이 중요합니다.
💡 비약물 치료
약물 치료와 병행하여 비약물 치료는 만성폐쇄성 폐질환 관리에 필수적인 요소입니다.
- 금연: 만성폐쇄성 폐질환의 가장 중요한 치료이자 예방법으로, 폐 기능 저하를 늦추는 가장 효과적인 방법입니다.
- 호흡 재활: 호흡 곤란을 줄이고 운동 능력을 향상시키기 위해 호흡 근육 훈련, 운동, 영양 상담 등으로 구성된 폐 재활 프로그램에 참여합니다.
- 영양 관리: 호흡으로 소모되는 에너지가 많으므로 충분한 영양 섭취와 적정 체중 유지가 중요합니다.
- 환경 관리: 미세먼지, 공기 오염, 화학 물질 등 폐를 자극하는 환경에 노출되지 않도록 주의합니다.



⚕️ 시술 및 수술적 치료
만성폐쇄성 폐질환이 심하여 약물 및 비약물 치료로도 증상 개선이 어려운 경우 시술이나 수술적 치료를 고려할 수 있습니다. 산소 요법은 혈중 산소 농도가 낮은 환자에게 필수적이며, 폐기종이 심한 일부 환자에게는 폐 용적 축소술(LVRS)을 통해 손상된 폐 조직을 제거하여 잔류 공기를 줄이고 남아있는 폐의 기능을 개선합니다.
또한, 매우 심한 경우 폐 이식을 고려할 수 있습니다. 의료진과 충분한 상담을 통해 환자에게 가장 적합한 치료법을 신중하게 결정해야 합니다.
🆕 최신 치료 동향
만성폐쇄성 폐질환 치료 분야에서는 기관지 확장제 조합(LABA/LAMA/ICS 삼제 병용 흡입제)을 통해 환자별 맞춤 치료를 제공하고 있습니다. 또한, 폐 염증 반응을 표적으로 하는 새로운 경구 약물 및 생물학적 제제들이 연구되고 있으며, 기관지 내시경을 통한 폐기종 치료(기관지 내 밸브 삽입 등)도 발전하고 있습니다.
이 외에 디지털 헬스케어 기술을 활용한 자가 관리 앱, 웨어러블 기기 등을 통해 환자가 능동적으로 질병을 관리할 수 있도록 돕는 연구도 활발합니다. 모든 환자에게 적용 가능한 것은 아니므로 전문가와 상담하여 자신에게 맞는 치료법을 찾아야 합니다.
📈 만성폐쇄성 폐질환 합병증 예방 및 관리 방법

📉 발생 가능한 주요 합병증
만성폐쇄성 폐질환은 장기간 진행되면 다양한 심각한 합병증을 유발할 수 있습니다. 주요 합병증으로는 폐렴, 급성 악화(호흡 곤란 심화), 호흡 부전, 폐성 심장병(우심실 부전), 폐암, 골다공증, 우울증 등이 있습니다.
이러한 합병증들은 생명을 위협하거나 삶의 질을 심각하게 저하시키므로, 철저한 관리를 통해 예방하는 것이 무엇보다 중요합니다.
🎯 합병증 예방을 위한 관리 전략
합병증을 예방하기 위해서는 금연을 최우선으로 하고, 독감 및 폐렴구균 백신 접종을 통해 호흡기 감염을 예방해야 합니다. 의료진의 지시에 따라 흡입제 등을 꾸준히 복용하여 폐 기능을 최대한 유지하는 것이 필수적입니다.
또한, 호흡 재활 프로그램에 꾸준히 참여하여 폐 기능을 강화하고, 미세먼지나 오염된 공기에 대한 노출을 최소화해야 합니다. 동반된 만성 질환(고혈압, 당뇨 등)도 철저히 관리하여 복합적인 위험을 줄여야 합니다.





📆 꾸준한 모니터링 및 정기 검진의 중요성
만성폐쇄성 폐질환은 만성적인 경과를 보이는 질환이므로, 꾸준한 모니터링과 정기 검진이 매우 중요합니다. 주기적으로 폐기능 검사, 흉부 X-ray, 혈액 검사 등을 통해 폐 기능의 변화와 합병증 발생 여부를 확인해야 합니다.
또한, 증상 일기를 작성하여 기침, 가래, 호흡 곤란의 변화를 기록하고, 급성 악화 징후가 보이면 즉시 의료진과 상담해야 합니다. 정기 검진은 질병의 악화를 막고, 필요한 경우 치료법을 변경하거나 보강하여 폐 건강을 최적화하는 데 결정적인 역할을 합니다.
💪 삶의 질 향상을 위한 노력
만성폐쇄성 폐질환은 호흡 곤란으로 인한 신체 활동 제한과 심리적인 위축감을 유발할 수 있습니다. 긍정적인 마음가짐을 가지고 의료진 및 재활 치료사의 지도에 따라 신체 활동을 점차 늘리고, 취미 생활, 사회 활동 참여 등을 통해 스트레스를 해소하는 것이 삶의 질 향상에 도움이 됩니다.
가족이나 친구들과 소통하며 지지받고, 필요하다면 심리 상담을 받는 것도 좋습니다. 의료진과 함께 자신의 삶을 긍정적으로 관리해 나가는 자세가 건강한 노년의 비결입니다.
✅ 결론

지금까지 40대 이상 중년에게 중요한 만성폐쇄성 폐질환의 정확한 진단 과정과 효과적인 치료 방법, 그리고 합병증 예방 및 장기 관리를 위한 구체적인 방법에 대해 자세히 알아보았습니다. 만성폐쇄성 폐질환은 만성적인 질환이지만, 조기 진단과 적극적인 치료, 꾸준한 자기 관리와 금연을 통해 충분히 폐 기능을 유지하고 건강한 삶을 영위할 수 있습니다.
40대 이후에는 자신의 건강 상태를 꾸준히 살피고 필요한 정보를 얻는 것이 중요합니다. 건강한 내일을 위해 지금 바로 다른 질환 정보도 확인해보세요.
치매 진단 방법 치료 예방 가이드 총정리
목 차 치매로 최근 기억력 저하, 판단력 상실, 성격 변화와 같은 증상을 겪거나 가족 중에 해당 질환으로 어려움을 겪는 분들을 보며 걱정하셨던 적이 있으실 겁니다. 치매는 제대로 알고 적극적
100.nadanadago.com
비타민C 부족 증상 먹는법 총정리
목 차 감기 예방에 좋다고 알려진 비타민C, 혹시 꾸준히 챙겨 드시고 계신가요? 비타민C는 단순히 감기 예방을 넘어, 우리 몸의 면역력, 피부 건강, 혈관 건강 등 다양한 생리 활동에 필수적인 역
100.nadanadago.com
목 디스크 증상 원인 운동요법 치료방법 총정리
목 차 목 디스크(경추 추간판 탈출증)는 목 뼈 사이에 있는 디스크가 제자리를 벗어나 신경을 압박하면서 통증과 다양한 증상을 유발하는 질환입니다. 잘못된 자세나 생활 습관, 노화 등으로 인
100.nadanadago.com